
HEAD & NECK CANCERS
Latest News

The kinase inhibitors sorafenib (Nexavar) and lenvatinib (Lenvima) have significantly altered the treatment paradigm for patients with advanced radioactive iodine (RAI)-refractory differentiated thyroid cancer in both older and younger populations, with combination strategies hoping to further build upon this success.
Latest Videos

CME Content
More News

Abstracts highlighting the latest clinical data on lenvatinib are expected at the 2015 European Cancer Congress in Vienna, Austria.

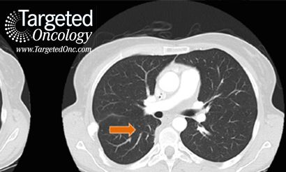
The attenuated vaccinia virus, GL-ONC1, demonstrated safety and clinical benefit when delivered intravenously with concurrent chemoradiation therapy in patients who have locoregionally advanced head and neck carcinoma (LA-HNC).

Matthew H. Taylor, MD, Oregon Health and Science University, discusses the toxicities and impact of lenvatinib in the SELECT trial, which treated patients with 131I-refractory differentiated thyroid cancer.

Sonidegib (Odomzo) was approved by the EC for the treatment of patients who have locally advanced basal cell carcinoma (laBCC) and are not amenable to curative surgery or radiation therapy.

AstraZeneca’s MedImmune has entered into a licensing agreement and collaboration with Inovio Pharmaceuticals, whereby MedImmune was given exclusive rights to Inovio’s INO-3112 immunotherapy.

Tanguy Seiwert, MD, assistant professor of medicine, associate leader, Head and Neck Cancer Program, University of Chicago, discusses the significance of pembrolizumab in head and neck cancer.

Trisha Wise-Draper, MD, PhD, assistant professor, University of Cincinnati, discusses the quality of life (QOL) as a predictor of clinical outcome in patients with head and neck cancer (HNC).

Shirish Gadgeel, MD, Barbara Ann Karmanos Cancer Institute, discusses a phase III study examining afatinib versus erlotinib as a second-line treatment of patients with advanced squamous cell carcinoma (SCC) of the lung following first-line platinum-based chemotherapy.

The anti-PD-1 antibody pembrolizumab produced broad and durable responses in patients with recurrent/metastatic head and neck squamous cell carcinoma.

Despite their promise, checkpoint inhibitors are not effective in every patient, and research suggests the STING (stimulator of interferon genes) pathway may hold important clues as to why some tumors fail to respond.

Growth in healthcare spending in the United States continues to outpace growth in European countries that enjoy a similar standard of living.

Dinutuximab (Unituxin) has been approved by the FDA in combination with interleukin-2, granulocyte-macrophage colony-stimulating factor (GM-CSF), and isotretinoin as a frontline therapy for pediatric patients with high-risk neuroblastoma.

On February 13, 2015, the FDA approved lenvatinib for treatment of locally recurrent or metastatic differentiated thyroid cancer that is refractory to radioactive iodine therapy.

In an analysis of adverse events following treatment of patients with advanced melanoma with ipilimumab and nivolumab, combination therapy was associated with a 22% incidence of either thyroiditis or hypothyroidism and a 9% incidence of hypophysitis.

R. Michael Tuttle, MD, discusses a study that looked at augmenting pre-operative risk of recurrence stratification in differentiated thyroid carcinoma.

The FDA has granted rindopepimut (Rintega) a Breakthrough Therapy Designation for the treatment of adult patients with glioblastoma multiforme (GBM) that test positive for the epidermal growth factor receptor (EGFR) variant (EGFRvIII).

The FDA has approved lenvatinib (Lenvima) as a treatment for patients with progressive, radioactive iodine (RAI)-refractory differentiated thyroid cancer (DTC).

Representatives Diana DeGette (D, Colorado) and Fred Upton (R, Michigan) recently released a "discussion draft" of the 21st Century Cures Act.

TKIs have been an invaluable addition to the treatment of thyroid cancers, including medullary thyroid cancer, but adverse events must be effectively monitored and managed.

Advances in molecular testing have enabled families of those with thyroid cancers to determine whether or not they may be at increased risk for developing thyroid cancer.

With appropriate treatment, individuals with thyroid cancer have good odds for survival—the 5-year survival rate is 98%. Many factors influence the risk of survival after thyroid cancer is diagnosed.

Carrie C. Lubitz, MD, MPH, assistant professor, Massachusetts General Hospital, discusses the diagnosis of thyroid cancer.

Metastatic disease accounts for the vast majority of cancer-related deaths. Ensuring a definitive diagnosis and the most effective treatment in a timely fashion is essential for extending life expectancy.

Each year approximately 63,000 persons in the US will be diagnosed with thyroid cancer, placing it among the top 10 most common cancers in the country.

Keith C. Bible, MD, PhD, professor of oncology, Mayo Clinic, discusses the challenges associated with treating patients with follicular cell-derived thyroid carcinoma.




































