
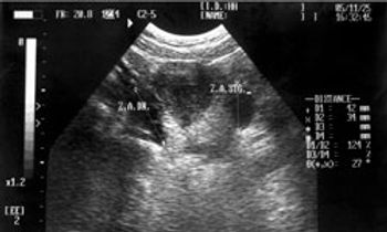
Monitoring CA-125 Shows Promise as a Screening Tool for Ovarian Cancer
Measuring CA-125, the protein that predicts ovarian cancer recurrence, has shown promise as a screening tool for the disease.

Measuring CA-125, the protein that predicts ovarian cancer recurrence, has shown promise as a screening tool for the disease.

Pazopanib was better tolerated with noninferior efficacy when compared to sunitinib as a treatment for patients with advanced renal cell carcinoma.

A study shows that a new chemoresponse assay improves the overall survival and progression-free survival of patients with recurrent ovarian cancer while helping clinicians individualize care for those patients.

The investigational immunotherapy Allovectin (velimogene aliplasmid) failed to meet key endpoints in a phase III trial in patients with stage III/IV metastatic melanoma.

Necitumumab plus chemotherapy as a first-line therapy for patients with metastatic squamous NSCLC demonstrated an improvement in OS vs chemotherapy alone.

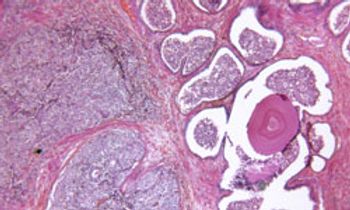
Tamoxifen significantly lowered the risk of contralateral or secondary breast cancer by more than half in patients with BRCA1/2 mutations.

Researchers at the NCI have developed the most comprehensive analysis of coding variants in the most frequently studied human tumor cell lines in cancer research.

The FDA has approved the pan-HER inhibitor afatinib (Gilotrif), along with a companion diagnostic, to treat patients with metastatic NSCLC who express specific types of EGFR mutations.

The FDA has received a new drug application for ibrutinib as a therapy for previously treated CLL and previously treated MCL.

If approved, this regimen would be the first neoadjuvant regimen ever approved for the treatment of cancer.

Patients with chronic lymphocytic leukemia (CLL) and patients with mantle cell lymphoma (MCL) showed high response rates to therapy with ibrutinib.

Elotuzumab in combination with lenalidomide and low-dose dexamethasone showed efficacy in patients with previously treated multiple myeloma.

The US Supreme Court ruled that patents held on a test for genetic mutations associated with breast cancer is not eligible for patent protection.

A phase III study of the investigational peptibody trebananib has met its primary endpoint of an improvement in progression-free survival.

The FDA rejected a new drug application for tivozanib, an inhibitor of vascular endothelial growth factor (VEGF), for the treatment of advanced renal cell carcinoma (RCC).

Lenalidomide has been approved to treat patients with mantle cell lymphoma who have relapsed or whose disease has progressed after two prior therapies including at least one prior treatment with bortezomib.

The FDA approved both dabrafenib (Tafinlar) and trametinib (Mekinist) for the treatment of patients with metastatic or unresectable melanoma.

The FDA has granted priority review to paclitaxel protein-bound particles for injectable suspension, albumin-bound, or nab-paclitaxel, for metastatic pancreatic cancer when administered in combination with gemcitabine.

A phase III study of inotuzumab ozogamicin for patients with relapsed or refractory CD22+ aggressive non-Hodgkin lymphoma who are not candidates for high-dose chemotherapy was halted after a scheduled interim analysis.

Radium RA 223 dichloride has been approved by the FDA for the treatment of symptomatic metastatic castration-resistant prostate cancer (mCRPC) that has spread to the bones but not to any other organs.